When it comes to orthodontic treatment, the idea of removing teeth for braces may seem like a common practice. However, before you rush into tooth extraction for braces as a solution, it’s crucial to understand the potential side effects and drawbacks associated with this procedure. In this comprehensive article, we will delve into the negative consequences of having teeth extracted before getting braces, shedding light on why it may not be worth it.

Negative Impact of Tooth Extraction for Braces on Facial Appearance:
One of the most noticeable side effects of tooth extraction for braces is the potential change in facial appearance. Premolar extraction, in particular, can lead to a sunken face, altering the natural contours of your visage. This change can be disheartening, as it may make you look older or less vibrant than before.
Imagine looking in the mirror and noticing that your cheeks appear flatter, and your face has become narrower. This sunken look can be attributed to the reduced support provided by the extracted teeth, causing the surrounding facial structures to collapse inward. Such changes can have a significant impact on your self-esteem and overall confidence.

Impaired Breathing and Airway Issues:
Another significant concern with tooth extraction for braces is its impact on your airway and breathing. Removing teeth reduces the overall size of your mouth, nasal passageways, and sinuses, potentially leading to restricted airflow. A smaller mouth can crowd the tongue and compromise the size of the airway, which can result in breathing difficulties.
Imagine having a narrowed airway due to tooth extraction, which may lead to snoring, sleep apnea, or other sleep-disordered breathing problems. This can significantly affect your overall health and quality of life, leading to fatigue, irritability, and even more severe health issues in the long run.

Orthodontic Relapse and Bite Instability:
Teeth extraction before braces can also contribute to orthodontic relapse, where teeth shift back to their original positions after treatment. This can result in misaligned teeth, an unstable bite, and discomfort in the temporomandibular joints (TMJs).
Many individuals who have undergone previous extractions for orthodontic purposes find themselves facing these relapse issues, necessitating further orthodontic interventions and additional expenses. The discomfort and frustration that can come with relapse can be avoided by exploring alternative orthodontic approaches.
A Conservative Alternative:
It’s essential to explore conservative alternatives before committing to tooth extraction for braces. Retaining all permanent teeth through a non-extraction approach is vital for achieving a beautiful, stable, and healthy smile over a lifetime.
Consider seeking orthodontic evaluations for your child as early as age 5-6. Identifying jaw discrepancies and addressing them promptly can promote jaw growth and development, creating more space for teeth to align naturally and maintain a balanced smile. This proactive approach not only prevents the need for extractions but also enhances overall facial aesthetics and airway health.

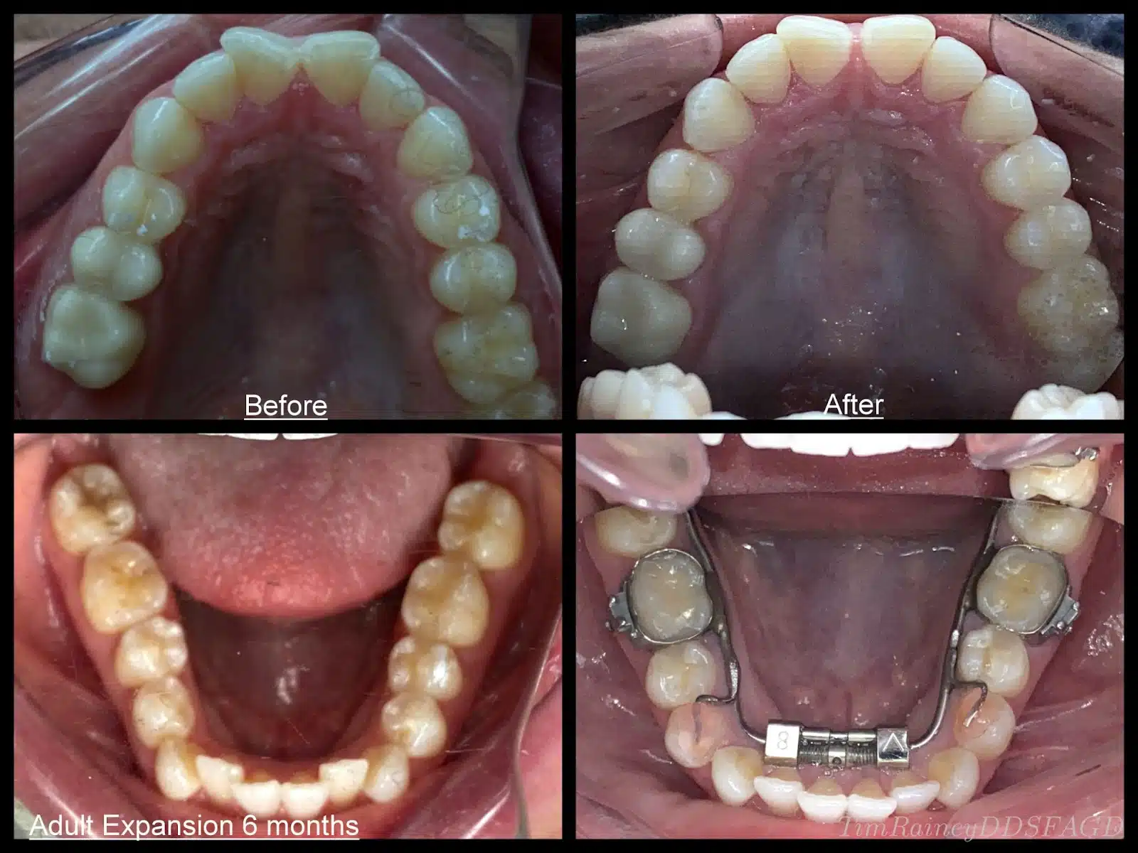
Options for Adults:
Tooth extraction may be a common choice for adolescents, but adults can also face orthodontic challenges. It has long been thought that after a certain age, the bones in our upper palate fuse, making changes difficult. However, complete fusion of the palatal sutures does not occur as we age. We can create changes to the palate or even the mandible in adults or older children, although it usually takes more time than in children and may not be as profound.
There are orthodontic methods and appliances suitable for adults that can help create broad arches and straight teeth without the need for tooth extraction. These methods include Bonded Expanders, Removable Palatal Expanders, MSE (Microimplant Assisted Palatal Expander), Crozats, or HAAS expanders. Adult patients can achieve remarkable results without sacrificing their natural teeth.
Prioritizing Airway Health:
No matter which orthodontic method we use, the most important consideration we have for the patient is not to violate the function of the airway. Retracting the teeth toward the tongue (i.e., extracting premolars) could and most likely will have a negative impact on the patient’s airway and health. All of our orthodontic treatment goals prioritize improving the airway dimensions as much as possible so that we can optimize our patient’s health and well-being as well as their smile.

In conclusion, while tooth extraction for braces may seem like a quick fix for orthodontic issues, it comes with numerous negative side effects that can affect your facial appearance, airway health, and overall well-being. It is essential to explore conservative orthodontic approaches that prioritize maintaining all permanent teeth, ensuring a stable and healthy smile without the need for extraction.
If you have any additional questions or concerns regarding teeth extraction before braces, we invite you to contact Comprehensive Family Dental. Our experienced team is here to provide you with the guidance and information you need to make the best decision for your orthodontic treatment. Your smile and overall health are our top priorities, and we are dedicated to helping you achieve the best results while preserving your natural teeth. Don’t hesitate to reach out to us – we’re here to help you on your orthodontic journey.